R. Visconde de Pelotas, 905 / Salas 31/32 / 95020-180 / Centro – Caxias do Sul/RS
(54) 3225-1017 (54) 99196-6640

Hoje o assunto da vez é harmonização facial. Cada vez mais pessoas estão buscando alternativas para melhorar determinados aspectos do seu visual sem abrir mão da naturalidade, que além de extremamente importante para que não haja uma agressão às características individuais do paciente, também elimina as chances de artificialidade nos resultados. E para quem trabalha com a imagem, a naturalidade tem um peso ainda maior. Mas se engana quem pensa que as lentes de contato dentais são as únicas opções para melhorar a estética do sorriso. Hoje, vamos conhecer o caso clínico da nossa querida paciente Kelin Uess, que optou pela cosmética em resina composta para conquistar o seu sorriso ideal. Confira!
Quando a modelo Kelin Uess procurou a equipe da Ruzzarin Odontologia, o seu objetivo inicial era a colocação de lentes de contato dentais, e um esclarecimento de dúvidas sobre o procedimento. Logo no início da conversa com o Dr. Fabrício Ruzzarin, a paciente comentou sobre sua preocupação por ter “quebrado a ponta do canino”. Após uma avaliação, o Dr. explicou que, na verdade, o problema que estava desgastando e prejudicando o formato dos seus dentes era o bruxismo.
Antes de iniciar qualquer tipo de tratamento, é necessário se certificar sobre como anda a saúde da sua boca e dos seus dentes, para que nada impeça o êxito ao final do seu tratamento. Então, após identificar a causa do problema dos dentes da Kelin, o próximo passo foi indicar um tratamento capaz de solucioná-lo. E para que nós conseguíssemos recuperar com a resina esses dentes que foram desgastados e para que eles tivessem uma longevidade de preservação, mantendo as resinas intactas, indicamos para ela o uso de placas miorrelaxantes de bruxismo, para que fossem utilizadas durante o sono.
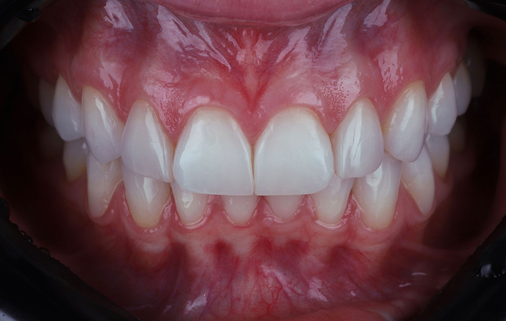
Após a consulta inicial e a identificação das necessidades do sorriso da paciente – como o tratamento do bruxismo – passamos para a etapa de planejamento. Kelin já tinha um sorriso lindo e natural, seus incisivos centrais apresentavam translucidez – aspecto que realça ainda mais o sorriso – mas também possuía alguns detalhes que não combinavam tanto com o rosto dela. Com uma análise facial, realizada logo na primeira consulta, o Dr. Fabrício pôde identificar uma assimetria no caso da Kelin: seu rosto é mais “quadrado”, enquanto seus dentes tinham o formato triangular, fazendo com que não combinassem tanto com o seu visual.
Neste caso, poderíamos utilizar lentes de contato? Sim, mas não havia a necessidade de colocá-las, uma vez que este processo poderia representar uma agressão à naturalidade do dente da paciente. Portanto, propomos a realização de uma cosmética com resina composta direto na boca. Desta forma, foi feita uma pincelada de resina nos pontos que formam um “V” no dente para mudar o índice de refração e reflexão da luz.
Isso serve para que, quando a gente olha o dente, possamos enxergar a área de espelho, que é a parte que vemos quando a pessoa sorri, fazendo com que indiretamente o dente apareça maior. No caso da Kelin, fizemos a cosmética de 4 dentes com resina composta, que aumentaram a área de refração e reflexão da luz, de forma sutil, sem mudar as características naturais do dente. Com isso, agora seus dentes tornaram-se mais quadrados e, consequentemente, combinam melhor com o formato do rosto da paciente.
Em geral, não é possível determinar um valor específico para a cosmética com resina composta, visto que aspectos como o grau de necessidade de restauração dos dentes, a quantidade de elementos a serem ajustados, entre outros fatores, influenciam diretamente no orçamento final do tratamento. A melhor opção é sempre uma consulta com um profissional experiente para tirar todas as suas dúvidas e identificar o melhor tratamento para cada caso.
A Ruzzarin Odontologia está à disposição para atender você, e ajudar a conquistar o sorriso natural que você sempre quis. Entre em contato, agende uma avaliação, e saiba mais.





Nossos protocolos são personalizados e pensados de acordo com as suas necessidades. Se você tem o sonho de harmonizar o seu sorriso, clique no botão abaixo e saiba mais sobre como nós podemos te ajudar a conquistar este objetivo!